What Are Symptoms Of Advanced Lung Cancer - Surprising Lung Cancer Symptoms / Lung cancer won't wait for the pandemic to be over, so, as well as a persistent cough, it is critical that as many people as possible are aware of other less commonly known symptoms of the disease.
Dapatkan link
Facebook
X
Pinterest
Email
Aplikasi Lainnya
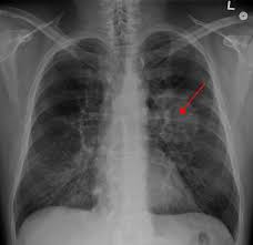
What Are Symptoms Of Advanced Lung Cancer - Surprising Lung Cancer Symptoms / Lung cancer won't wait for the pandemic to be over, so, as well as a persistent cough, it is critical that as many people as possible are aware of other less commonly known symptoms of the disease.. Cancer cachexia, a syndrome including unintentional weight loss and muscle wasting, is very common in the later stages of cancer. Signs and symptoms of lung cancer may include: Persistent coughing, coughing up blood or excess mucus, shortness of breath, and chest pain are all common signs of lung cancer. Treating symptoms of advanced lung cancer. As other parts of the body are affected, new lung cancer symptoms may develop, including:
As other parts of the body are affected, new lung cancer symptoms may develop, including: Advanced stages of lung cancer are often characterized by the spread of the cancer to distant sites in the body. Symptoms to know about stage 4 lung cancer. Cancer treatments also often have side effects. Treatments such as chemotherapy, radiotherapy or targeted cancer drugs can help to shrink the cancer, reduce symptoms and help you feel better.
Symptom Burden And Quality Of Life In Advanced Non Small Cell Lung Cancer Patients In France And Germany Semantic Scholar from d3i71xaburhd42.cloudfront.net Bone pain or fractures if it's spread to your bones headaches, vision issues, or seizures if it's. Immunotherapy treatments are generally reserved for people with locally advanced lung cancers and cancers that have spread to other parts of the body. The lymph nodes within the chest, or in the tummy (abdomen), neck, or armpit Blackouts occur in 3 percent of patients diagnosed with advanced lung cancer, according to the study published in supportive care in cancer. blackouts tend to be associated with younger patients. A number of strategies can help you to cope with breathlessness, loss of appetite, fatigue. Symptoms of lung cancer at stage 4. What are more advanced lung cancer signs and symptoms? Advanced lung cancer can cause uncomfortable symptoms.
Lung cancer is very hard for doctors to find in its early stages.
A new cough that doesn't go away coughing up blood, even a small amount Managing symptoms of advanced cancer while advanced cancer cannot be cured, there are still things that can be done to help you feel as good as possible for as long as possible. Weight loss is also almost universal, and it occurs even when people are eating a diet with adequate calories. A tumor can block the airway, causing a cough or shortness of breath. The most common symptoms of lung cancer are: Here are five symptoms of lung cancer that you might not be aware of: Little is known on symptom burden, psychosocial needs, and perception of prognosis in advanced lung cancer patients at the time of diagnosis, although early assessment is strongly recommended within the setting of daily routine care. Or, hormones released by the tumor can cause carcinoid syndrome (see below). Lung cancer won't wait for the pandemic to be over, so, as well as a persistent cough, it is critical that as many people as possible are aware of other less commonly known symptoms of the disease. Cancer cachexia, a syndrome including unintentional weight loss and muscle wasting, is very common in the later stages of cancer. Feeling increasingly out of breath is a common symptom of advanced lung cancer, according to the british lung foundation. They lose weight a lot, as nutrition in case of lung cancer is poor due to lack of appetite. People with lung cancer often experience signs and symptoms of the cancer, as well as side effects of treatment.
Bone pain or fractures if it's spread to your bones headaches, vision issues, or seizures if it's. The presence of these symptoms doesn't definitively mean you have lung cancer, though, as they can also be caused by other conditions. Signs and symptoms of lung cancer typically occur when the disease is advanced. Persistent coughing, coughing up blood or excess mucus, shortness of breath, and chest pain are all common signs of lung cancer. But doctors and nurses can offer support and treatment to help you.
Management Of Locally Advanced Non Small Cell Lung Cancer N 120 Download Table from www.researchgate.net Persistent coughing, coughing up blood or excess mucus, shortness of breath, and chest pain are all common signs of lung cancer. Little is known on symptom burden, psychosocial needs, and perception of prognosis in advanced lung cancer patients at the time of diagnosis, although early assessment is strongly recommended within the setting of daily routine care. Advanced lung cancer can cause uncomfortable symptoms. Other less frequent symptoms of advanced lung cancer include diarrhea, blackouts, itching, tremor and aches. Of lung cancers are already in advanced stages before doctors find them, according to a 2015 review. Cancer cachexia, a syndrome including unintentional weight loss and muscle wasting, is very common in the later stages of cancer. Cancer may start in one part of the body, but as it advances, it usually spreads. This may affect the bones, liver or brain.
Cancer may start in one part of the body, but as it advances, it usually spreads.
Cancer treatments also often have side effects. A tumor can block the airway, causing a cough or shortness of breath. Signs and symptoms of lung cancer typically occur when the disease is advanced. But doctors and nurses can offer support and treatment to help you. Signs and symptoms of lung cancer may include: Persistent coughing, coughing up blood or excess mucus, shortness of breath, and chest pain are all common signs of lung cancer. If you notice some of these symptoms in your loved one, we recommend contacting their primary care physician and/or hospice care provider immediately: Advanced lung cancer can cause uncomfortable symptoms. A lung net is much less likely to cause carcinoid syndrome than a gi tract net. This may affect the bones, liver or brain. Feeling increasingly out of breath is a common symptom of advanced lung cancer, according to the british lung foundation. Lung cancer is very hard for doctors to find in its early stages. Even if you have symptoms, like a cough or feeling tired, you might not feel bad enough to see a doctor.
Signs and symptoms of lung cancer may include: Lung cancer can spread to: People with lung cancer often experience signs and symptoms of the cancer, as well as side effects of treatment. Lung cancer is the most common cancer as well as the most frequent cause of cancer death in the world today world health organization, 2013.despite advances in the detection, pathological diagnosis and therapeutics of lung cancer, many patients still develop advanced, incurable and progressively fatal disease. Symptom management is one of the critical parts of care for patients with advanced disease.
Outcomes Of Patients With Disease Recurrence After Treatment For Locally Advanced Non Small Cell Lung Cancer Detected By Routine Follow Up Ct Scans Versus A Symptom Driven Evaluation Lung Cancer from els-jbs-prod-cdn.jbs.elsevierhealth.com Symptom management is one of the critical parts of care for patients with advanced disease. Lung cancer can spread to: The latter degree of the disease is very poorly tolerated by patients. People with a lung net may experience the following symptoms. Profound fatigue is very common in the late stages of lung cancer. When you hear someone speaking about stage i (1), stage ii (2) lung cancer, etc., that is a statement of how much cancer has spread past the lungs. Blackouts occur in 3 percent of patients diagnosed with advanced lung cancer, according to the study published in supportive care in cancer. blackouts tend to be associated with younger patients. Even if you have symptoms, like a cough or feeling tired, you might not feel bad enough to see a doctor.
Lung cancer is very hard for doctors to find in its early stages.
Here are five symptoms of lung cancer that you might not be aware of: Cancer treatments also often have side effects. Immunotherapy treatments are generally reserved for people with locally advanced lung cancers and cancers that have spread to other parts of the body. The presence of these symptoms doesn't definitively mean you have lung cancer, though, as they can also be caused by other conditions. Lung cancer won't wait for the pandemic to be over, so, as well as a persistent cough, it is critical that as many people as possible are aware of other less commonly known symptoms of the disease. Symptoms of lung cancer at stage 4. When you hear someone speaking about stage i (1), stage ii (2) lung cancer, etc., that is a statement of how much cancer has spread past the lungs. Other symptoms of advanced cancer depend on where the cancer is in the body. Symptoms of metastatic lung cancer that has spread to other parts of the body may include: The lymph nodes within the chest, or in the tummy (abdomen), neck, or armpit Headaches, weakness or numbness in a limb, dizziness, balance issues or seizures (if the cancer has spread to the brain) jaundice (if the cancer has spread to the liver) pain in the bones of the back or hips Because lung cancer develops in the lungs, as you'd probably expect, its most common symptoms involve the lungs. The acs recommend seeking consultation if the following symptoms become apparent:
Doa (dalam bahasa arab) berarti membaca, meminta hajat dan memohon pertolongan. 37 full pdfs related to this paper. Membangun karakter kemanusiaan, membentuk kepribadian bangsa melalui pendidikan. Makna leksikal dan teknikal doa. Al Maidah Ayat 32 Arti Perkata from 2.bp.blogspot.com Membangun karakter kemanusiaan, membentuk kepribadian bangsa melalui pendidikan. 37 full pdfs related to this paper. Makna leksikal dan teknikal doa. Doa (dalam bahasa arab) berarti membaca, meminta hajat dan memohon pertolongan. 37 full pdfs related to this paper. Membangun karakter kemanusiaan, membentuk kepribadian bangsa melalui pendidikan. Makna leksikal dan teknikal doa. Doa (dalam bahasa arab) berarti membaca, meminta hajat dan memohon pertolongan. 37 full pdfs related to this paper. Doa (dalam bahasa arab) berarti...
Make A Free Card / Free Online Ecard Maker Design A Custom Ecard Canva / What our customers say about our business cards . Spend as little or as much time as you want to make the graphic your own. Add a personalized note or photo. Grab a photo from your computer files or social media to make it extra special, and use the effects tools to adjust the size, rotation, filter, and frame. Go back into the editor and make changes anytime. Even without a photo, you can add a unique personal touch. Create a personalised card for free let your loved ones know how much you appreciate them by making your own printable cards. You can print birthday cards at home well in advance or last minutes before going to the birthday parties. Use effortless design to create fun and festive cards. Design personal greeting cards in minutes. What our customers say about our business cards Birthday Card Maker Create ...
Make Payment On Amazon Credit Card - Best Amazon Business Credit Card 2021 Credit Options Zdnet / With business banking, you'll receive guidance from a team of business professionals who specialize in helping improve cash flow, providing credit solutions, and on managing payroll. . Online payments referenced by this table are initiated by signing in and using the chase.com credit card payment option above. Your amazon rewards visa signature card comes with benefits to help protect you and your purchases. Because you use the payment methods associated with your amazon account to use amazon pay for making payments, you edit the credit and debit card information in your amazon account. Chase also offers online and mobile services, business credit cards, and payment acceptance solutions built specifically for businesses. With business banking, you'll receive guidance from a team of business professionals who specialize in helping improve cash flow, providing credit solutions,...
Komentar
Posting Komentar